Losing a front tooth is one of the most emotionally challenging dental experiences for any person. It affects not only appearance but also speech, confidence, chewing ability, and overall social behaviour. At Dentes Clinic, Madurai, we see these situations often — but every case is unique, and every person needs a customised solution.
This blog explains a real-life front tooth restoration journey where a young person walked into our clinic after losing his front tooth and walked out with a natural, confident and stable smile, thanks to a digitally designed dental bridge.
This is not just a success story…
It is a step-by-step explanation of how modern digital dentistry, precision planning, and clear communication can transform a person’s confidence completely.
If you wish to see more such cases, visit our official blog:
👉 https://dentesclinic.blogspot.com/
Book your appointment directly at Dentes Clinic:
👉 https://in.bestosys.com/patient/#/requestAppointment/029598fc0996b6097fB
🦷 When He First Visited: A Lost Front Tooth & Lost Confidence
The person walked into Dentes Clinic visibly disturbed — he had lost one of his upper front teeth.
The gap was visible even when he closed his mouth, and more importantly, he felt embarrassed to talk or smile.
He had tried hiding the gap for a few days, but soon realised it was affecting his work, communication and everyday activities.
During the consultation, we thoroughly examined his mouth, supporting teeth, gums and bone availability.
Our findings were clear:
Z
The front tooth was missing
Z
The bone support in that area was insufficient for a dental implant
Z
Placing an implant without proper bone would not give long-term success
Z
The best, safest, and most aesthetic solution for him was a fixed dental bridge
When we explained this, he instantly felt relieved — he simply wanted a fixed, strong and natural-looking tooth as quickly as possible.
🦷 Why We Suggested a Bridge Instead of an Implant
Some people believe an implant is the only good option, but that is not true.
A dental bridge is an excellent, time-tested, strong, and aesthetic solution when:
Z
Bone support is insufficient
Z
Bone grafting is not preferred
Z
The person wants a faster, stable result
Z
Surrounding teeth can support a bridge
In this case, the missing tooth area had minimal bone height and width, which made implant placement unpredictable.
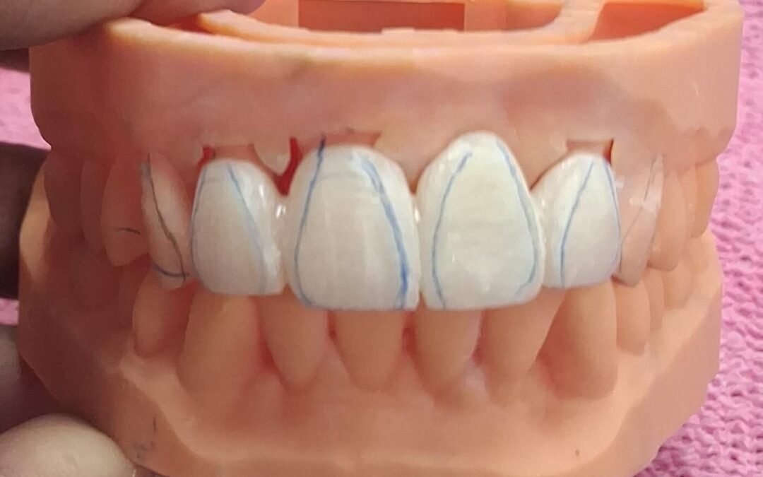
A digital zirconia bridge offered him:
Z
Natural look
Z
Excellent strength
Z
Faster turnaround
Z
Predictable long-term results
Z
No surgery
Z
Comfortable experience
